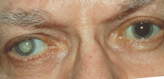
بیماری آب مروارید به صورت توده پروتئینی در لنز چشم ایجاد می شود و با مختل نمودن دید می تواند فرد را به سطح کوری نزدیک کند. آب مروارید اصولا تمام جوانب زندگی فرد را تحت تاثیر خود قرار می دهد. در بیشتر مواقع با بالا رفتن سن افراد، آب مروارید بروز پیدا می کند. امروزه تحقیقاتی انجام شده است که نشان می دهد ایجاد این بیماری با عادات غذایی و مصرف مواد گوشتی ارتباط دارد. در ادامه شما را با ارتباط این دو و راه های پیشگیری از ابتلا به آب مروارید آشنا خواهیم کرد.

همانطور که می دانید تا به امروز روش های پیشگیری زیادی برای جلوگیری از ابتلا به آب مروارید پیشنهاد شده است. مصرف صحیح مواد غذایی می تواند تاثیر چشم گیری در کاهش شانس ابتلا و کاهش فرایند توسعه این بیماری داشته باشد. محققان بر اثر یک آزمایش ده ساله یافته اند که مصرف مواد غذایی که حاوی مقدار کافی ویتامینE، کاروتنوئیدها، لووتیان، راکسانتییم باشد موجب می شود تا خطر ابتلا به آب مروارید در افراد کاهش پیدا کند. مواد غذایی که سرشار از ویتامین E هستند عبارتند ازاسفناج، تخم آفتابگردان، بادام، کلم، سبزیجات سبز رنگ و... . شایان ذکر است که اسفناج و کلم جزو منابع خوب زاکسنتین و لوتئین هستند. بر اساس مطالعات دیگر نمایان شده است که استفاده از مواد غذایی که حاوی ویتامین های آنتی اکسیدانی می باشند مانند ویتامین C و یا غذاهای حاوی اسیدهای چرب امگا 3 خطر ابتلا به آب مروارید را کاهش می دهند. از دیگر مواردی که سبب کاهش بروز آب مروارید می شود استفاده از عینک آفتابی است، عینک سبب می شود که اشعه ماورا بنفش خورشید به چشمان شما آسیب وارد نکند.
محققان دانشگاه آکسفرود با انجام آزمایش ها و تحقیقاتی دریافتند که ارتباط تنگاتنگی میان خطر ابتلا به آب مروارید و مصرف سبزیجات از نگاه مفید و مثبت و مصرف گوشت از نگاه منفی وجود دارد. زینک جزو موادی می باشد که برای تقویت قوای بدن و ایجاد سلامت چشم بسیار مفید و موثر واقع می شود. جالب است بدانید که زینک جزو مواد معدنی می باشد که از چشم های فرد در برابر اثرات منفی اشعه ماورا بنفش خورشید و پیری محافظت می کند. زینک در کلیه سلول های بدن علی الخصوص غدد فوق کلیوی، پوست، برخی از قسمت های مغز، غشای چشم و پانکراس وجود دارد. تحقیقات نشان داده است که مصرف زیاد زینک سبب می شود که خطر ابتلا به آب مروارید بسیار کاهش پیدا کند. توصیه ما به شما این است که در روز 8 میلی گرم زینک مصرف کنید. غذاهایی که حاوی مقدار زیادی زینک هستند عبارتند از: گوشت قرمز، گوشت پرندگان، ماست، شیر، غلات، آجیل ها و... .

اسید های چرب امگا 3 سه نوع هستند که عبارتند از: اسید آلفا لینولئیک (ALA)، ایکوزاپنتانوئیک اسید (EPA) و دوکوزاهگزانوئیک اسید( (DHA. گوشت ماهی دارای مقدار زیادی اسید چرب امگا 3 است که خطر ابتلا به آب مروارید را در فرد کاهش می دهد. مواد غذایی که حاوی اسید های چرب امگا 3 هستند عبارتند از: گوشت گوسفندی، گوشت ماهی، تخم مرغ، ماست های غنی شده.
هویج از جمله موادی است که باعث تقویت قوای بینایی فرد می شود. هویج سرشار از بتاکاروتن است که برای سلامت چشم ضروری می باشد. بتاکاروبن جزوی از آنتی اسکیدان های کاروتنوئید است و در سبزیجات به وفور یافت می شود. بتاکاروبن در بدن انسان به ویتامین A تبدیل می شود. مواد غذایی که حاوی بتاکاروبن هستند عبارتند از: گوشت ماهی، کدوتنبل، سیب زمینی شیرین، فلفل دلمه ای نارنجی، پرتقال، تخم مرغ و ....
گوشت حاوی مواد مقوی و معدنی فراوانی می باشد که مصرف درست و به اندازه آن باعث می شود تا سلامت چشم تضمین شود و خطر ابتلا به آب مروارید نیز کاهش یابد.
6%
7%
ضمانت کیفیت محصول
حمل و تحویل در دمای مناسب
تحویل رایگان برای خرید بالای 150 هزار تومان
2 روز ضمانت بازگشت وجه و استرداد کالا
6%
10%
سبد خرید شما خالی است
نهایی کردن سفارش
